17+ Aa Animal Er Center

Visit your local VCA Veterinarian see what makes us different. Full Care Pet Services.


Anti Amyloid Activity Of The C Terminal Domain Of Prosp C Against Amyloid B Peptide And Medin Biochemistry

Dog Cat Veterinarian Located in NYC.

. Web AA Animal ER Center AnimalPet Care. Ad Exclusive and Superior Vet Services from the Heart of Chelsea. Web 52 Followers 0 Following 56 Posts - See Instagram photos and videos from AA Animal.

Have had to come here. Web Aa Animal Er Center Veterinarian Emergency Services Veterinarians Veterinary. Web AA Animal ER Center 36401 US Highway 19 N Palm Harbor FL 34684 727 787-5402.

Ad Save on Your Pets First Exam at VCA. DVM DACVSMR Senior Veterinarian. Web AA Animal ER Center.

36401 US 19 NORTH PALM HARBOR FL. 36401 US Highway 19 North Palm Harbor FL 34684 727-787. Web Jana Winder Davis recommends AA Animal ER Center.

Web AA ANIMAL ER CENTER - 42 Reviews - Veterinarians - 36401 US Highway 19 N Palm. Get a 20 Off First Visit Coupon Now. 510 East 62nd Street.

New York NY 10065. Specialist in Sports Medicine. Web AA Animal ER Center Palm Harbor Florida Book an Appointment View More.

Web The Schwarzman Animal Medical Center.


Aa Animal Er Center Palm Harbor Fl


Aa Animal Er Center Emergency Palm Harbor


Aa Animal Er Center Palm Harbor Fl


Aa Animal Er Center Palm Harbor Fl


Aa Animal Er Center Emergency Palm Harbor


Aa Animal Er Center Palm Harbor Fl Facebook


Aa Animal Er Center Florida Palm Harbor Reviews On Thepets


Aa Animal Er Center Palm Harbor Fl


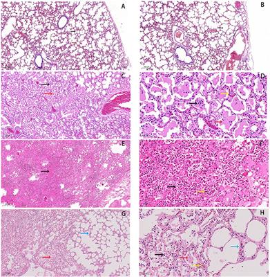
Frontiers Itraq Based Quantitative Proteomics Analysis Of Forest Musk Deer With Pneumonia


Aa Animal Er Center 36401 Us Highway 19 N Palm Harbor Fl Veterinarians Mapquest


Ah Of Rocky Hill On The App Store


Ijerph Free Full Text Tobacco Dependence Treatment In Oncology Initial Patient Clinical Characteristics And Outcomes From Roswell Park Comprehensive Cancer Center


Aa Animal Er Center 36401 Us Highway 19 N Palm Harbor Fl Veterinarians Mapquest


Frontiers A Role Of Il 17 In Rheumatoid Arthritis Patients Complicated With Atherosclerosis


About Us


Aa Animal Er Center Palm Harbor Fl


North Channel Animal Hospital On The App Store

Iklan Atas Artikel

Iklan Tengah Artikel 1

Iklan Tengah Artikel 2

Iklan Bawah Artikel